Ortodonție – Aparate dentare
Ne mândrim să fim una dintre cele mai importante alegeri din București în materie de ortodonție, datorită cabinetelor noastre specializate din ambele clinici, și a celor 6 medici ortodonți care lucrează la noi.
Suntem, de pildă, lider în București în proiectul ”SMILE”, proiect în cadrul căruia, într-un singur an, am montat 1600 de aparate dentare copiilor și adolescenților din capitală. Iar acum suntem deja în pregătirea aparatelor pentru ediția 2025-2026 – SMILE-2.
Tipuri de aparate dentare pentru copii și adulți
Medici ortodonție CISO Medical:
Dr. Munteanu Ana Maria
Medic ortodont
Dr. Lupea Ilinca
Medic ortodont
Dr. Cornescu Ioana
Medic ortodont
Dr. Stan Roxana
Medic ortodont
Dr. Matei Alexandru
Medic ortodont
Dr. Licsăndroiu Verona
Medic ortodont
DE CE SĂ ALEGI APARATUL DENTAR LA CISO MEDICAL?
Un aparat dentar are o semnificație destul de clară, pe de-o parte rezolvă problemele de estetică dentară, iar pe de altă parte, pe cele de sănătate.
Aparatul dentar nu doar îndreaptă dinții – ci îți schimbă viața. Fie că ai dinți strâmbi, spații între ei sau o mușcătură incorectă, tratamentul ortodontic poate corecta toate aceste probleme. Ai la dispoziție mai multe opțiuni – de la aparate metalice clasice, până la variante moderne și discrete, cum sunt cele transparente, precum Invisalign.
Rezultatul? Un zâmbet care arată bine, funcționează perfect și te face să te simți încrezător, zi de zi.
La Ciso Medical, înțelegem că decizia de a purta aparat dentar nu e una simplă. Poate ai reticențe legate de durată, preț sau cum va arăta zâmbetul tău în acest timp. Dar gândește-te la rezultat: o ocluzie corectă, mai puține dureri de cap, gât sau spate, precum și o îngrijire dentară mult mai ușoară pe termen lung.
Știm că prețul este un criteriu important atunci când alegi un tratament ortodontic, așa că, dacă te întrebi cât costă un aparat dentar metalic sau cauți cel mai ieftin aparat dentar care să ofere rezultate bune, la CISO Medical îți oferim soluții accesibile, fără să facem compromisuri la calitate.
Indiferent de vârstă, nu e prea târziu să acționezi. Fie că ești adult care dorește o transformare sau părinte preocupat de dezvoltarea dentară a copilului tău, stomatologii noștri îți vor sta aproape și te vor ghida pas cu pas.
Nu mai este pentru nimeni un secret, problemele descoperite din timp se rezolva incomparabil mai bine, mai ușor și mai sigur.
Începem cu un consult inițial de specialitate – costă doar 200 de lei:
Telefon 0772 165 028 (de luni până vineri, între orele 9 și 20),
saun ne lăsați datele de contact și vă contactăm noi.
DE CE AI NEVOIE DE UN APARAT DENTAR?
Poate nu știi exact dacă ai nevoie de aparat dentar, dar te-ai surprins evitând să zâmbești în poze sau simțind dureri în timpul masticației.
Alinierea incorectă a dinților poate duce nu doar la probleme estetice, ci și la complicații funcționale:
- Dinți înghesuiți ori distanțați
- Dinți incorect poziționați
- Mușcături anormale (adâncă, inversă, deschisă, încrucișată)
- Dificultăți de masticație sau de vorbire
- Dureri de maxilar sau migrene frecvente
- Igienă dentară dificilă și risc crescut de carii
- Retragerea gingiilor sau uzura smalțului
Un aparat dentar bine ales, recomandat de un medic ortodont cu experiență, corectează aceste probleme treptat, oferindu-ți un zâmbet sănătos și echilibrat.
Nu aștepta, află acum cu ce te putem ajuta. Cere un sfat sau programează-te la o consultație în cabinetul de ortodonție, cost fix 200 lei.
Îți stăm la dispoziție la numărul:
CE BENEFICII ADUCE APARATUL DENTAR?
Da, un zâmbet aliniat și armonios este primul lucru pe care îl observi. Dar aparatul dentar face mult mai mult decât să-ți readucă zâmbetul – protejează sănătatea dinților tăi pe termen lung.
✅ Dinții mai ușor de curățat – Dantura strâmbă creează spații greu accesibile, unde placa bacteriană se adună. Aparatul corectează poziția dinților, reducând riscul de carii și boli gingivale.
✅ Ocluzie corectă = mai puține dureri – Dacă dinții nu se închid cum trebuie, poți avea dureri de cap, gât sau probleme cu articulația temporomandibulară (ATM). Aparatul dentar reechilibrează mușcătura.
✅ Îmbunătățește funcțiile esențiale – Mestecatul și vorbirea devin mai naturale când dinții sunt poziționați corect.
✅ Previne apariția cariilor și a afecțiunilor gingivale – Tratamentul ortodontic timpuriu poate reduce nevoia de intervenții complexe pe viitor.
✅ Un zâmbet încrezător – Dinți aliniați înseamnă un zâmbet mai frumos, care îți sporește încrederea în tine și în interacțiunile sociale.
Nu aștepta, află acum cu ce te putem ajuta. Cere un sfat sau programează-te la o consultație în cabinetul de ortodonție, cost fix 200 lei.
Îți stăm la dispoziție la numărul:
Am făcut-o pentru mii de pacienți.
O vom face și pentru voi.
Pentru că pentru noi sănătatea ta contează Clinica CISO Medical îți pune la dispoziție și posibilitatea de plată în rate lunare prin
creditul TBI Bank.
Cum se montează aparatul dentar? Explicații pentru copii curajoși
Te-ai hotărât să porți aparat dentar? Super alegere! Asta înseamnă că în curând vei avea un zâmbet și mai frumos, cu dinți drepți și sănătoși. Iată cum decurge totul, pas cu pas, ca să știi exact la ce să te aștepți – și să nu te sperii deloc. Promitem că nu doare!
1. Vizita de pregătire
Prima dată, doctorul ortodont va face câteva poze speciale (radiografii) ca să vadă cum stau dinții tăi și dacă e nevoie să facă puțin loc pentru aparatul dentar. Uneori, dințișorii de lapte trebuie scoși dacă încurcă. Dar nu te teme, totul se face cu grijă și fără durere!
2. Pregătirea dinților
În ziua în care ți se montează aparatul, mai întâi ți se curăță foarte bine dinții. Apoi, medicul îți pune în gură un ineluș moale din silicon (numit optragate) ca să țină obrajii la distanță și să poată lucra ușor. Nu doare deloc, dar poate te face să râzi puțin.
3. Lipirea bracketilor
Fiecare piesă micuță se lipește pe câte un dinte cu un lipici special, care se întărește cu o lampă cu lumină albastră. Nu simți nimic, e ca un puzzle pe dinți!
4. Arcul magic care îndreaptă dinții
După ce toate piesele sunt la locul lor, se pune un fir subțire de metal – acesta este arcul care face dinții să se miște treptat în poziția corectă. Totul este prins bine cu niște elastice mici. Poți chiar să-ți alegi culoarea preferată!
5. Primele zile după montare
La început, dinții vor fi un pic sensibili. Poate o să te doară ușor sau vei simți că nu poți mesteca așa bine. Nu te speria! Asta înseamnă că aparatul își face treaba. În primele zile, e bine să mănânci supe, piureuri sau iaurturi și să eviți ronțăielile tari.
6. Vizitele de control
După ce porți aparatul dentar, vei merge din când în când la ortodont – cam o dată la 4–8 săptămâni. Acolo, medicul va verifica dacă totul merge bine și, dacă e nevoie, va schimba arcul sau elasticele. Poți alege din nou culori cool pentru elastice!
7. Finalul aventurii cu aparat
Când dinții tăi sunt drepți și zâmbetul arată grozav, vine momentul să spui „la revedere” aparatului dentar. Medicul îl va da jos și îți va curăța dinții, iar aceștia vor străluci.
8. După aparat – zâmbetul trebuie păstrat
Ca dinții să nu se miște la loc, vei purta un aparat de contenție – poate fi o gutieră transparentă sau un fir lipit în spatele dinților. Nu se vede și nu doare, dar e super important pentru a păstra zâmbetul perfect!
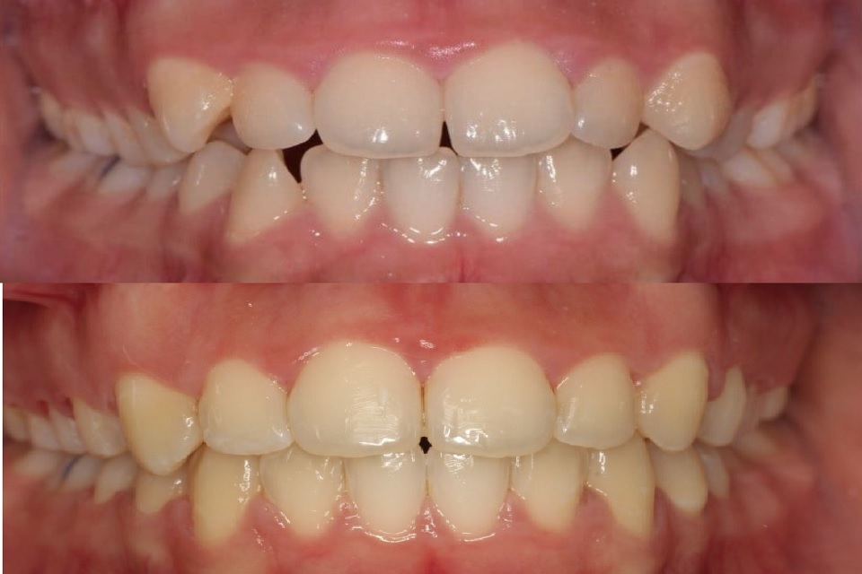
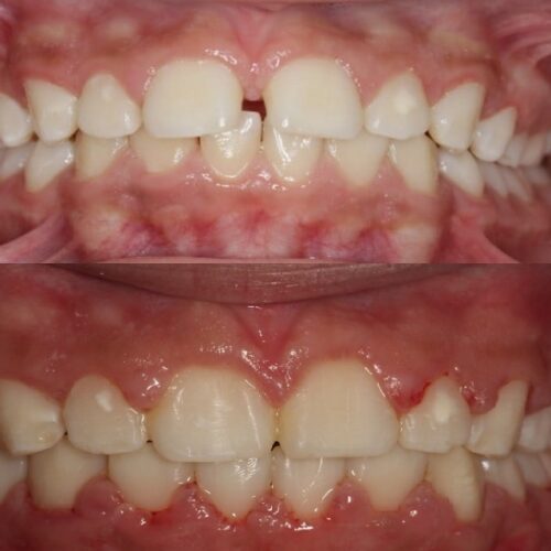
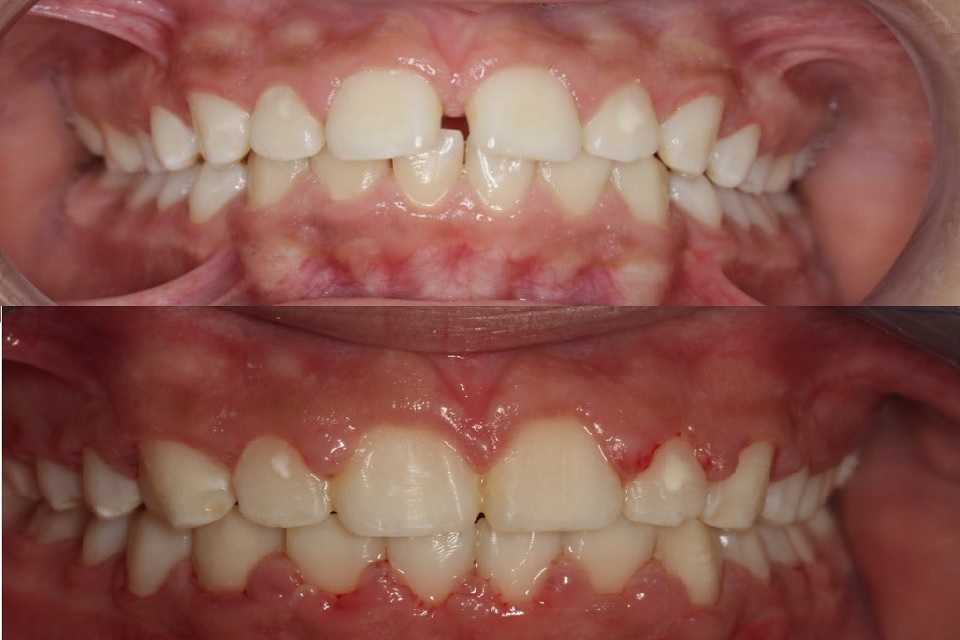
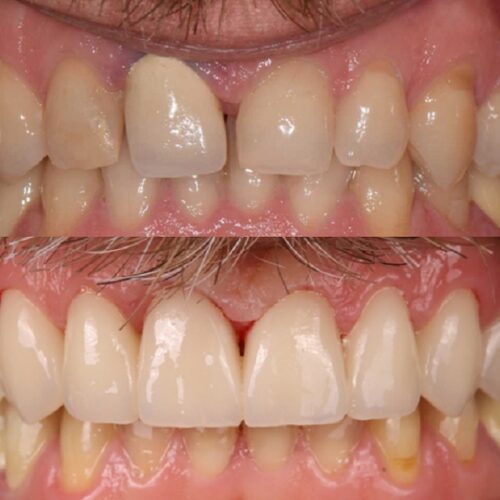
Cazuri de succes în ortodonție la CISO Medical
Lasă-ne datele tale și te vom contacta în cel mai scurt timp

