Clinică afiliată Proiect Smile2 – Aparate dentare pentru elevi • Vezi Detalii Clinică afiliată Proiect Smile2 – Aparate dentare pentru elevi • Vezi Detalii Clinică afiliată Proiect Smile2 – Aparate dentare pentru elevi • Vezi Detalii Clinică afiliată Proiect Smile2 – Aparate dentare pentru elevi • Vezi Detalii
Clinică afiliată Proiect Smile2 – Aparate dentare pentru elevi • Vezi Detalii Clinică afiliată Proiect Smile2 – Aparate dentare pentru elevi • Vezi Detalii Clinică afiliată Proiect Smile2 – Aparate dentare pentru elevi • Vezi Detalii Clinică afiliată Proiect Smile2 – Aparate dentare pentru elevi • Vezi Detalii

Coroane dentare

Prima pagină » Servicii » Coroane dentare

Cand ai nevoie de o coroana dentara?

Dacă ai dinți sănătoși, ești un exemplu pentru cei din jur. Însă atunci când structura dintelui este compromisă de carii extinse, fracturi, colorații accentuate sau uzură, o coroană dentară devine una dintre cele mai sigure soluții de restaurare. Aceasta permite păstrarea dintelui pe arcadă și refacerea funcției și esteticii sale.

La Ciso Medical ajung frecvent pacienți îngrijorați pentru că dintele este distrus într-o mare măsură, iar obturațiile nu mai oferă stabilitate. În astfel de situații, coroana dinte reprezintă o alternativă modernă, predictibilă și durabilă. Printr-o refacere a coroanei dentare corect realizată, dintele este protejat și poate fi utilizat normal mulți ani.

📅 Programează-ți consultația online

Ce sunt coroanele dentare?

Coroana dentară este un înveliș protetic fix care acoperă complet un dinte afectat sau un implant. Rol acesteia poate fi:

  • funcțional – restabilește forma, rezistența și capacitatea de masticație, protejând structura dentară restantă.
  • estetic – redă culoarea și morfologia naturală a dintelui, integrându-se armonios în zâmbet.

Astfel de lucrări sunt recomandate atât pentru dinți naturali tratați endodontic, dinți fracturați sau foarte uzați, cât și pentru lucrări pe implanturi. Indiferent de situație, coroanele dentare ceramice, din zirconiu sau porțelan sunt soluții sigure și durabile. Altfel spus, o coroană dentară bine realizată nu doar tratează problema, ci îți redă confortul și încrederea. La Ciso Medical, fiecare plan de tratament este adaptat individual, astfel încât să alegem împreună cea mai bună opțiune pentru tine.

Bucură-te de un zâmbet complet, cu un
aspect natural!
Programează-te acum!

Când ai nevoie de o coroană dentară?

Medicii de la Ciso Medical recomandă coroanele dentare în următoarele cazuri:

✅ Dintele este afectat de o carie profundă, care nu mai poate fi tratată cu o simplă plombă.
✅ Dintele este fracturat, fisurat sau sever abrazat.
✅ Ai trecut printr-un tratament endodontic (la nerv), iar structura dintelui este slăbită.
✅ Vrei să îmbunătățești aspectul estetic al unui dinte: pete, colorații, forme inestetice.
✅ Ai un implant și ai nevoie de coroană definitivă.
✅ Ai nevoie de un dinte-suport într-o punte dentară.

Prin fixarea unei coroane dentare, dintele este stabilizat, protejat pe termen lung și integrat funcțional în masticație, prevenind extracția.

Cum iti aplica stomatologul coroana dentara?

Aplicarea unei coroane dentare se poate face pe dintele natural sau pe implant dentar. Procedura este sigură și bine standardizată. În prima etapă, dintele este șlefuit controlat, pentru a crea spațiul necesar adaptării perfecte a coroanei.

Ulterior, se realizează amprenta dentară, care este trimisă către laborator. Până la finalizarea lucrării definitive, pacientul beneficiază de coroane dentare provizorii, menite să protejeze dintele și gingia și să asigure confort estetic și funcțional.

Înainte de finalizare, se face proba structurii (metal, zirconiu sau ceramică), iar împreună alegem forma și nuanța dintelui. Atât în cazul coroanelor dentare din porțelan, cât și al celor din zirconiu, rezultatul final este unul natural și personalizat.

Tipuri moderne de coroane dentare: Avantaje și recomandări

Alegerea materialului potrivit este esențială pentru succesul tratamentului. La Ciso Medical, folosim exclusiv coroane de înaltă calitate.

1. Coroane din zirconiu

🔹 Biocompatibile și extrem de rezistente
🔹 Fără risc de coroziune sau de margini metalice inestetice
🔹 Recomandate în special pentru zona laterală, dar și pentru dinți frontali
🔹 Aspect natural datorită translucidității similare smalțului dentar

2. Coroane din ceramică integrală (portelan presat)

🔹 Estetica este principalul atu – aspect identic cu al dintelui natural
🔹 Fără structură metalică, deci potrivite pentru zona frontală
🔹 Mai fragile decât zirconiul, dar ideale pentru pacienții cu cerințe estetice ridicate

3. Coroane metalo-ceramice (tradiționale)

🔹 Mai accesibile ca preț – coroană dentară preț accesibil
🔹 Rezistență bună, dar mai puțin estetice
🔹 Pot produce o linie gri la baza gingiei în timp

Ce fel de coroane dentare iti recomandam?

În majoritatea cazurilor, recomandăm coroane dentare zirconiu sau coroane dentare din porțelan, datorită echilibrului optim între estetică și rezistență. Zirconiul este ideal pentru zonele supuse presiunilor mari, iar ceramica este preferată pentru zâmbete cu cerințe estetice ridicate.

Mulți pacienți întreabă cât rezistă o coroană dentară. Cu o igienă corectă și controale regulate, durata de viață poate depăși 10–15 ani. Există și situații speciale, precum coroana dentară copii, unde indicația și materialul sunt adaptate vârstei.

Dacă ai nelămuriri legate de tipuri de coroane dentare, de procedura de fixare a coroanei dentare sau de costuri, te așteptăm la Ciso Medical. Împreună vom alege soluția sigură, funcțională și estetică pentru zâmbetul tău.

Bucură-te de un zâmbet complet, cu un
aspect natural!
Programează-te acum!

Cazuri de succes la CISO Medical

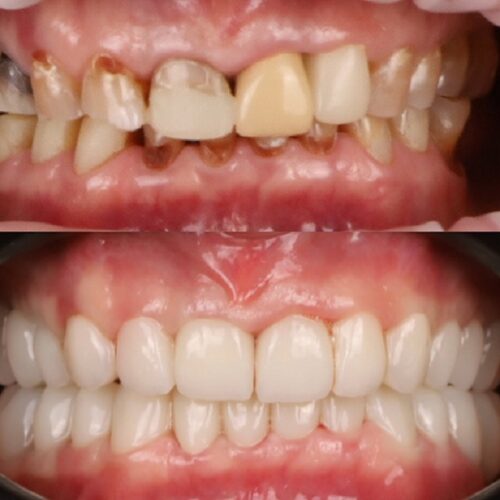
Carii profunde și abrazie dentară – S.D. , 56 ani

Pacientă S.D., 56 ani

Diagnostic inițial

Pacientă de 56 ani a venit cu dorința de a-și rezolva atât problemele estetice, cât și cele funcționale pentru a-și recăpăta zâmbetul, sănătatea dentară și încrederea în sine.

În urma evaluării clinice și radiologice, s-a constatat:

  • Dinți lipsă pe ambele arcade
  • Resturi radiculare multiple
  • Lucrări protetice vechi și inestetice
  • Carii profunde pe majoritatea dinților
  • Abrazie dentară accentuată

Plan de tratament

  • Îndepărtarea lucrărilor vechi și compromise
  • Extracția resturilor radiculare irecuperabile
  • Tratamente endodontice la microscop pentru dinții cu carii profunde și infecții, pentru a fi salvați
  • Șlefuirea și pregătirea dinților existenți pentru o lucrare unitară
  • Montarea unei lucrări provizorii pentru 2 luni, cu scopul de a restabili ocluzia și funcția masticatorie
  • După stabilizarea cazului: aplicarea de coroane definitive din zirconiu multilayer – estetică superioară și rezistență pe termen lung

Rezultatul final

  • Zâmbet complet transformat, cu estetică naturală și armonioasă
  • Restabilirea funcției masticatorii și a echilibrului ocluzal
  • Redobândirea încrederii și a confortului zilnic
  • O soluție modernă și durabilă prin utilizarea coroanelor din zirconiu multilayer

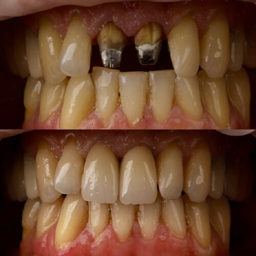
Dentiție incompletă și dinți existenți afectați – I.C. , 50 ani

Pacient I.C., 50 ani

Diagnostic inițial

Pacient, în vârstă de 50 de ani, s-a prezentat la CISO Medical cu dorința de a-și recăpăta funcția masticatorie, aspectul estetic și încrederea în sine.

În urma evaluării clinice și radiologice, s-a constatat:

  • Lucrări protetice vechi și deteriorate
  • Dentiție incompletă, cu lipsa mai multor dinți
  • Dinți existenți afectați, cu abrazie avansată și estetică compromisă
  • Necesitatea retratării unor lucrări endodontice

Plan de tratament realizat de echipa multidisciplinară CISO Medical

  • Îndepărtarea lucrărilor vechi
  • Inserarea a 4 implanturi dentare pentru stabilizarea reabilitării
  • Retratamente endodontice pe dinții afectați, pentru a fi păstrați și integrați în noul plan protetic
  • Lucrări provizorii pe durata perioadei de osteointegrare a implanturilor
  • După finalizarea osteointegrării: aplicarea lucrărilor definitive din zirconiu multilayer atât pe dinți, cât și pe implanturi, pentru un rezultat durabil, funcțional și estetic

Rezultat final

  • Refacerea completă a funcției masticatorii
  • Zâmbet natural și armonios datorită coroanelor din zirconiu multilayer
  • Rejuvenarea fizionomiei prin reabilitarea estetică totală
  • Îmbunătățirea semnificativă a calității vieții și redobândirea încrederii în sine

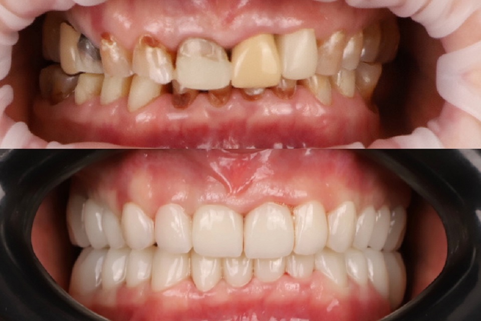
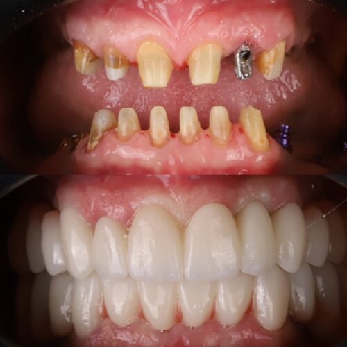
Lucrări dentare compromise și lipsă dinți – B.R , 64 ani

Pacientă B.R., 64 ani

Diagnostic inițial

Pacienta, în vârstă de 64 de ani, s-a prezentat în cadrul clinicii CISO Medical cu dorința de a-și recăpăta zâmbetul, funcția masticatorie și stima de sine.

În urma investigațiilor clinice și radiologice s-au constatat:

  • Lucrări dentare vechi și compromise
  • Lipsa mai multor dinți atât la arcada superioară, cât și la cea inferioară
  • Infecții și resturi dentare irecuperabile

Plan și tratament realizat

  • Extracția resturilor dentare irecuperabile
  • Tratamentul endodontic la microscop al dinților păstrați
  • Inserarea a 9 implanturi dentare, pentru refacerea arcadelor
  • Adiții osoase și sinus lift bilateral pentru a asigura volum și stabilitate osoasă
  • Perioada de osteointegrare a implanturilor și osului, cu lucrări provizorii pentru menținerea esteticii și funcționalității
  • După finalizarea procesului de vindecare, realizarea și montarea a 28 de coroane din zirconiu multilayer, atât pe dinți, cât și pe implanturi

Rezultatul final

  • Zâmbet complet restaurat, natural și estetic
  • Funcționalitate masticatorie reechilibrată
  • Fizionomie vizibil îmbunătățită
  • Pacienta și-a recăpătat încrederea, confortul și plăcerea de a zâmbi

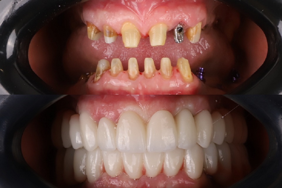
Reabilitare completă estetică și funcțională – C.M , 33 ani

Pacient C.M., 33 ani

Diagnostic inițial

Pacientul s-a prezentat în cadrul clinicii cu dorința de a-și recăpăta zâmbetul, estetica dentară, funcția masticatorie și stima de sine.

În urma consultului clinic și radiologic, s-au constatat:

  • Dizarmonie dentară cauzată de anodonții dentare
  • Carii profunde cu afectarea rădăcinilor
  • Resturi dentare
  • Necesitatea unei reabilitări complete, atât estetice, cât și funcționale

Tratament realizat

  • Extracția resturilor dentare irecuperabile
  • Tratament endodontic la microscop pentru dinții cu carii profunde, cu scopul de a salva dinții naturali viabili
  • Tratament ortodontic cu aparat dentar Invisalign pentru alinierea arcadelor și corectarea dizarmoniei dentare
  • Inserarea a 3 implanturi dentare la mandibulă și maxilar, pentru înlocuirea dinților absenți

După finalizarea tratamentului ortodontic, s-au realizat și montat:

  • Coroane individuale din zirconiu multilayer pe dinți
  • Coroane pe implanturi, pentru un zâmbet complet și natural

Rezultatul final

  • Zâmbet natural și armonios, adaptat fizionomiei pacientului
  • Estetică dentară impecabilă, fără compromisuri
  • Funcție masticatorie complet restaurată
  • Pacientul și-a recăpătat încrederea, stima de sine și bucuria de a zâmbi

Lucrare veche cu dinți afectați – B.M , 19 ani

Pacientă B.M., 19 ani

Diagnostic inițial:

Pacienta s-a prezentat în clinica noastră cu amelogeneză imperfectă, purtând o lucrare provizorie deteriorată, iar dinții de sub aceasta erau vizibil afectați. Aspectul estetic și funcțional al danturii era compromis, ceea ce îi afecta atât masticația, cât și încrederea în propriul zâmbet.

Tratament realizat:

  • Îndepărtarea lucrărilor provizorii vechi de la ambele arcade
  • Realizarea de coronoplastii în zona laterală a ambelor arcade și reîmprospătarea tuturor dinților
  • Aplicarea unor lucrări provizorii timp de 2 luni, pentru refacerea ocluziei, masticației și adaptarea pacientei la noua formă dentară
  • După perioada de adaptare, au fost realizate și montate 28 de coroane din zirconiu multilayer, restabilind atât estetica, cât și funcționalitatea completă

Rezultate:

Tratamentul a oferit pacientei un zâmbet armonios, funcțional și natural. Pacienta și-a recăpătat încrederea și confortul în masticație, iar rezultatul estetic final a adus o transformare spectaculoasă.

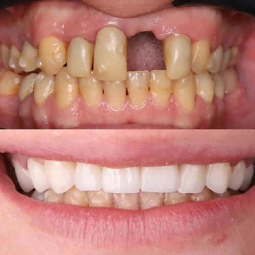
Reconstrucția estetică a zonei frontale – D.F., 44 ani

Diagnostic inițial:

Pacientul s-a prezentat în clinica noastră purtând o lucrare veche metalo-ceramică în zona frontală, care devenise inestetică și afecta aspectul general al zâmbetului.

Tratament realizat:

  • Îndepărtarea lucrării metalo-ceramice vechi.
  • Reconstrucția estetică a zonei frontale cu 2 coroane Emax, realizate și montate în aceeași ședință.
  • Întregul tratament a fost finalizat în aproximativ 2 ore, datorită tehnologiei digitale Cerec CAD/CAM, care a permis proiectarea și frezarea imediată a coroanelor finale.

Rezultat:

Pacientul a beneficiat de o schimbare estetică imediată și de un zâmbet natural, fără a fi nevoie de lucrări provizorii sau de mai multe ședințe.

Dr.Phd. Bogdan Licsăndroiu
CEO, medic stomatolog cu competenta in implantologie orala si Restaurari protetice cu sprijin implantar

Dr. Iancu Ana Maria Miruna
Medic chirurg dento-alveolar

Dr. Moussa Carl
Medic chirurg dento-alveolar

Alege clinicile
CISO Medical
pentru intervenția ta
de tratament dentar!

• Medicină dentară fără durere
• Echipă multidisciplinară
• Tratamente personalizate
• Tehnologie de top

Ai nevoie de un tratament dentar?

Lasă-ne datele tale și te vom contacta în cel mai scurt timp